Visit our CLINIC
DentalQue
55 WEST AVENUE ROAD,
WEST PUNJABI BAGH,
NEW DELHI, INDIA
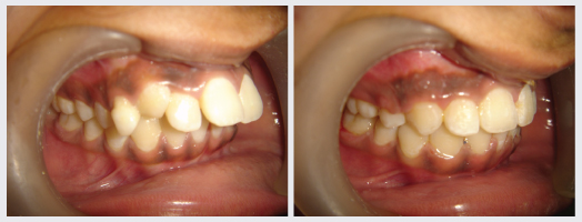
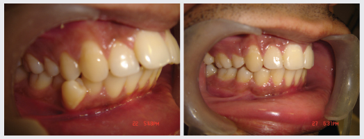
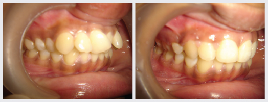
Orthodontics, popularly known as Braces treatment is a speciality of Dentistry that deals with the correction of Malocclusion or Malalignment. It is used to correct crowded teeth, protruded teeth, dental spaces, Jaw Deformities, improper bites and crooked smiles. At DENTAL QUE Orthodontic treatment is done for all age groups and there are types of braces available to suit everyones needs.
Are the routine form of braces, wherein multiple colour options can be given to keep the treatment trendy and to keep the childs interest alive.
Are the cosmetic form of braces. They are tooth colored and have very less visibility compared to the metal ones. The self ligating braces provide a faster treatment and are the most hygienic form of braces. The frequency of visits is also less.
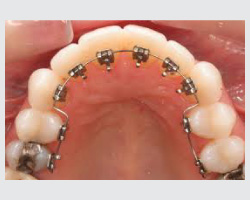
Lingual braces are fixed on the inner site of the teeth . Hence they are not visible at all. Recommended for adults and people with front office and public dealing jobs. The treatment is as effective as with conventional braces.
Also known as INVISALIGN TREATMENT. Here the treatment is also done just by wearing plastic aligners which are changed every 15 days . They are absolutely transparent and are removed for eating / brushing . Recommended for people who are adverse to getting anything fixed to their teeth . It is an orthodontic treatment without braces and wires!
It is based on a 3D technology to straighten the teeth. ( CAD/CAM)








DentalQue
55 WEST AVENUE ROAD,
WEST PUNJABI BAGH,
NEW DELHI, INDIA
enquiry@dentalque.com
P: +91 11 2522 6062 / 2522 6063
M: +91 981 008 0636
Mon - Sat: 09:30am to 01:00pm
& 05:00pm to 08:00pm
Sun: Closed