loader

Gum Treatment

What is gum disease?

Gum disease is a condition involving collection of bacteria between the gum tissue and the tooth. this is called Dental Plaque.

Poor oral hygiene, smoking, tobacco / paan chewing, and malaligned teeth can lead to Gum Disease.

Common Symptoms

Bleeding Gums – Bleeding gums are a result of inflammation and can be treated with routine cleaning, scaling / polishing and curettage of teeth.

Calculus Formation – Calcified plaque is known as CALCULUS. Dental scaling and root planning is done to treat these.

Foul Smell – This can be due to Periodontal pockets where food lodgement takes place. Scaling and polishing can treat this condition.

Gum Enlargement or Atrophy – Diseased gum tissue which covers half the surface of the tooth needs to be treated with gingivectomy that is recontouring or removing excess gum tissue.

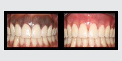
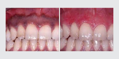
Gum Depigmentation

Dark gums or melanin hyper pigmentation is naturally prevelant in some people. These dark spots give an unpleasant appearance compared to healthy pink gums.

Depigmentation is the procedure done to remove these dark spots. It can be performed with a soft tissue laser also.

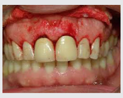
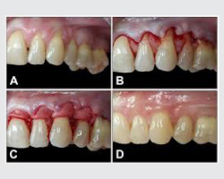
Periodontal Surgery

Treatment of loose, teeth with reddish inflamed gums and periodontal pockets, is initially done through scaling and root planning. At advanced stages, a periodontal flap surgery is performed.

Bone Grafting is also done sometimes, in cases of severe bone loss between teeth.

Find us on the map

Call us, email us or walk into our clinic, we're always here for you!

Visit our CLINIC

DentalQue
55 WEST AVENUE ROAD,
WEST PUNJABI BAGH,
NEW DELHI, INDIA

Email or Call us

enquiry@dentalque.com
P: +91 11 2522 6062 / 2522 6063
M: +91 981 008 0636

CLINIC Hours

Mon - Sat: 09:30am to 01:00pm
                & 05:00pm to 08:00pm
           Sun: Closed

Send us a message