WhatsApp

Dentures

Cosmetic Dentistry

What are Dentures?

Missing teeth can lead to challenges such as difficulty eating, speaking, and a loss of confidence in your smile. Dentures in Punjabi Bagh are custom-made dental appliances designed to replace missing teeth, restoring both appearance and oral function.

Dentures can be full or partial, depending on your needs:

  • Full Denture: Recommended when all teeth are missing, helping restore a complete smile and proper chewing function.
  • Partial Denture:
    Suitable when only some teeth are missing, filling gaps while preserving the remaining natural teeth.

At Dental Que, we provide high-quality dentures in West Delhi tailored to fit comfortably and look natural, helping you regain confidence and enjoy daily activities with ease.

How are dentures made?

The process of creating a denture involves several careful steps to ensure a comfortable and natural fit:

  1. Taking Impressions: Accurate molds of your gums and remaining teeth are made.
  2. Creating a Dental Model: The impressions are used to craft a precise model of your mouth.
  3. Fitting the Prosthesis: The denture is carefully adapted and adjusted for comfort and function.
  4. Polishing: The final denture is polished for a smooth, natural appearance.

At Dental Que, we ensure every denture in Punjabi Bagh is custom-made for optimal fit, comfort, and aesthetics.

How do dentures clean?

Just like natural teeth, dentures require daily cleaning to prevent the buildup of bacteria, plaque, and tartar, which can affect both gums and any remaining natural teeth.

  1. Rinse Thoroughly: Remove your dentures and rinse them under cold water to remove food particles lodged between teeth or along the gum line.
  2. Brush Gently: Use a denture brush or a very soft toothbrush with a mild denture cleaner or gentle soap. Avoid regular toothpaste, electric toothbrushes, or abrasive cleaners, as these can damage the denture material.
  3. Rinse Again: Ensure all cleaning solution is washed off before placing the dentures back in your mouth.
  4. Care for Your Gums: While dentures are out, gently clean your gums and any natural teeth using a soft, moist toothbrush and fluoridated toothpaste if needed. If your toothbrush feels too firm, you can cover it with a soft, damp washcloth to massage your gums gently.

At Dental Que, we provide expert guidance on dentures in Punjabi Bagh, West Delhi, helping you maintain healthy gums and long-lasting, comfortable dentures.

Benefits of dentures:

Dentures offer several advantages for those with missing teeth:

  • Improved Chewing: Restores your ability to eat a variety of foods comfortably.
  • Enhanced Appearance: Provides a natural-looking smile and boosts confidence.
  • Better Speech: Helps you speak clearly by filling gaps left by missing teeth.
  • Improved Nutrition: Enables proper chewing, which supports better digestion and nutrient absorption.

At Dental Que, our custom dentures in Punjabi Bagh, West Delhi are designed to maximize comfort, function, and aesthetics.

Disadvantage of dentures:

While dentures provide many benefits, there are some challenges, especially with traditional removable dentures. Some patients notice that their dentures may shift, wobble, or even slip while speaking or chewing. Additionally, tooth loss can lead to gradual jawbone shrinkage, which may result in changes to facial structure, such as sunken cheeks.

Regular dental visits are essential for denture wearers. Your dentist or prosthodontist will recommend check-ups, usually every six months. These visits help ensure your dentures fit properly, maintain oral hygiene, detect potential issues like oral cancer early, and monitor the health of your gums and remaining teeth.

At Dental Que, we provide expert guidance and high-quality dentures in Punjabi Bagh, West Delhi, ensuring comfort, proper fit, and long-term oral health.

What are the different types of dentures?

There are several types of dentures available, including partial and complete dentures, each carefully customized to match the shape, size, and color of your natural teeth. At Dental Que, our experts provide high-quality dentures in Punjabi Bagh, West Delhi, ensuring comfort and a natural look.

1. Removable Partial Dentures

Removable partial dentures are ideal when surrounding teeth are not strong enough to support bridges, or when multiple teeth are missing. They are designed to fit snugly along the gum line and are attached to neighboring natural teeth for stability. These dentures can be easily removed for cleaning or at night.

2. Complete Dentures

Complete dentures in Punjabi Bagh, West Delhi replace all of your natural teeth. They can be fitted for either the upper or lower jaw and are held in place by suction or dental adhesives. Like partial dentures, they can be removed for cleaning and maintenance.

3. Immediate Dentures

Immediate dentures are made before tooth extraction and are placed immediately after teeth are removed. They help maintain appearance and function during the healing process, which may take up to six months. These dentures can be adjusted as your gums and jaw heal.

4. Overdentures

Overdentures are an alternative for patients who find traditional dentures uncomfortable or who still have some natural teeth. They rest over the remaining tooth roots or dental implants, providing a secure and comfortable fit while remaining removable.

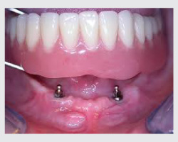
5. Implant-Supported Dentures

As the name suggests, these dentures are supported by dental implants. Implants are titanium posts placed in the jawbone, providing a stable foundation for a custom-made denture. Implant-supported dentures function like natural teeth and are maintained similarly to traditional dentures.

At Dental Que, we specialize in all types of dentures in West Delhi, including complete dentures in Punjabi Bagh, West Delhi, ensuring a perfect fit, comfort, and a natural-looking smile.

Because Every Smile Deserves Expert Care.

DentalQue is a trusted multispeciality dental clinic in Punjabi Bagh, West Delhi, established in 2002, offering expert care in braces, implants, and complete dental health solutions. With advanced technology, modern equipment, and experienced dentists, DentalQue is committed to delivering high-quality, reliable, and patient-focused dental care.

  • 26586 Happy Smiles
  • 700+ Dental Implants Done Successfully
  • 13000+ Dental Braces Done Successfully
  • 16000+ Teeth Extracted Successfully

Book An Appointment

Please Call Us To Ensure

    Call Now Button