loader

Cosmetic Dentistry

Cosmetic Dentistry is the future as far as smile enhancement and glorified look is concerned. It improves the color, shape, size, alignment and occlusion of teeth.

Cosmetic dental procedures involve the following treatments for

  1. Crooked Teeth
  2. Malaligned Teeth
  3. Spaces Between Teeth
  4. Protruding Teeth
  5. Stained Teeth
  6. Fluorotic Teeth
  7. Gummy Smiles
  8. Fractured Teeth
  9. Dark Pigmentation on Gums
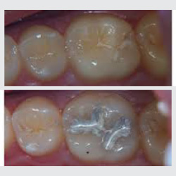
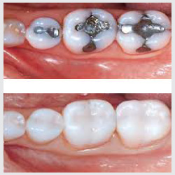
  10. Old Silver Fillings

Cosmetic treatments done are:

Cosmetic Fillings

one can replace the old silver fillings with the tooth colored cosmetic ones.

Porcelain Veneers

A Very thin layer of porcelain is bonded on the teeth to cover up defects like chipping, stains, crowding etc. Being extremely thin, it reflects the underlying enamel giving a very natural and realistic hue.

Porcelain veneers can also be used to close spaces between teeth (diastema closure).The advantage of veneers over crowns is that only the front surface of a natural tooth is covered, maintaining the integrity and strength of the tooth structure.

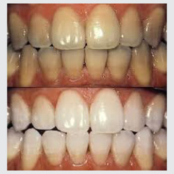
Teeth Whitening

Yellow, stained or dull teeth are the biggest causes of a hesitant smile. A pleasant smile is surely a confidence booster.

Dental Whitening is done in about 30-45 minutes chairside and is a safe in-office treatment. It does not harm or damage enamel, contrary to a popular belief.

Realistically, a teeth whitening procedure can make the color of the teeth 2-3 shades lighter. The effect lasts for about 2 years after which follow ups are recommended. Sensitivity, during or after whitening procedure is common and completely reversible. We do not recommend home bleach solutions as patients tend to use them overzealously causing more harm than enhancement.

Crown and Bridge

Crowns or caps in everyday language are given for various reasons, foremost being after a Root Canal Treatment.

Other indications of giving a crown are:

  1. Chipped tooth
  2. Stained tooth
  3. Malaligned teeth

A loss of a tooth can severely compromise the harmony of dental Occlusion. The adjacent teeth drift into the extraction space, the opposite tooth also supraerupts. Thus it is mandatory to replace a missing tooth . Dental Implants is the first choice for such cases , but there are times when implants are contraindicated. A bridge is given to replace such teeth wherein we take support of neighbouring teeth and give a fixed prosthesis.

  • It is usually a two sitting procedure. At the first visit , the impression is taken for the crown and bridge and in the second visit the crown and bridge is fixed.
  • At DENTALQUE , metal free crowns are recommended for both anterior and posterior teeth . These crowns have excellent aesthetics as well as high strength. These crowns do not require a metal base , hence is the most optimized replacement of a natural tooth.
  • Metal Ceramic Crown are the traditional form of replacement and are routinely done in our practice. There is a metal capping over which ceramic is coated to make it look like a tooth structure.

Full Mouth Rihabilitations

Are done in cases where oral health has severely deteriorated due to multiple problems. The treatment is planned and executed skillfully to restore normal oral function. Multiple crowns/Bridges/Implants are placed after replicating the bite of the individual. The smile is designed to suit various facial types.

Find us on the map

Call us, email us or walk into our clinic, we're always here for you!

Visit our CLINIC

DentalQue
55 WEST AVENUE ROAD,
WEST PUNJABI BAGH,
NEW DELHI, INDIA

Email or Call us

enquiry@dentalque.com
P: +91 11 2522 6062 / 2522 6063
M: +91 981 008 0636

CLINIC Hours

Mon - Sat: 09:30am to 01:00pm
                & 05:00pm to 08:00pm
           Sun: Closed

Send us a message